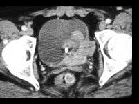
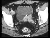
男,56岁,间歇性血尿半年余,请根据所示图像,选择最可能诊断 ( )A、膀胱癌B、膀胱息肉C、膀胱血块D、膀胱结核E、膀胱结石

作者: rantiku 人气: - 评论: 0
问题 男,56岁,间歇性血尿半年余,请根据所示图像,选择最可能诊断 ( )
选项 A、膀胱癌 B、膀胱息肉 C、膀胱血块 D、膀胱结核 E、膀胱结石
答案 A
解析

猜你喜欢

发表评论
更多 网友评论0 条评论)
暂无评论

访问排行

Copyright © 2012-2014 恰考网 Inc. 保留所有权利。 Powered by tikuer.com

页面耗时0.0464秒, 内存占用1.03 MB, Cache:redis,访问数据库19次