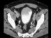
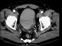
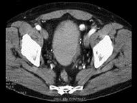
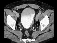
男,55岁,血尿半月余,请根据其影像,判断其最可能的诊断 ( )A、膀胱憩室伴感染B、慢性膀胱炎C、膀胱癌D、膀胱憩室E、...

作者: rantiku 人气: - 评论: 0
问题 男,55岁,血尿半月余,请根据其影像,判断其最可能的诊断 ( )
选项 A、膀胱憩室伴感染 B、慢性膀胱炎 C、膀胱癌 D、膀胱憩室 E、膀胱结石
答案 C
解析

猜你喜欢

发表评论
更多 网友评论0 条评论)
暂无评论

访问排行

Copyright © 2012-2014 恰考网 Inc. 保留所有权利。 Powered by tikuer.com

页面耗时0.0513秒, 内存占用1.03 MB, Cache:redis,访问数据库18次