女,63岁,左腰部隐痛不适1个月余,CT平扫+增强如图所示,下列哪项诊断正确 ( )A、左肾下极脓肿B、左肾下极淋巴瘤C、左肾下极...

作者: rantiku 人气: - 评论: 0
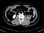
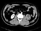
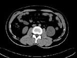
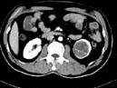
问题 女,63岁,左腰部隐痛不适1个月余,CT平扫+增强如图所示,下列哪项诊断正确 ( )
选项 A、左肾下极脓肿 B、左肾下极淋巴瘤 C、左肾下极错构瘤 D、左肾下极癌 E、左肾下极囊肿
答案 D
解析

猜你喜欢

发表评论
更多 网友评论0 条评论)
暂无评论

访问排行

Copyright © 2012-2014 恰考网 Inc. 保留所有权利。 Powered by tikuer.com

页面耗时0.0638秒, 内存占用1.03 MB, Cache:redis,访问数据库19次