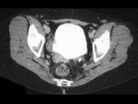
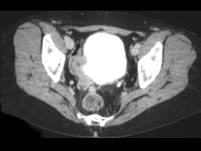
男,56岁,请根据所示图像,选择最可能诊断 ( )A、右侧输尿管乳头状瘤B、右侧输尿管癌C、膀胱结核D、右侧输尿管结核E、膀胱癌

作者: rantiku 人气: - 评论: 0
问题 男,56岁,请根据所示图像,选择最可能诊断 ( )
选项 A、右侧输尿管乳头状瘤 B、右侧输尿管癌 C、膀胱结核 D、右侧输尿管结核 E、膀胱癌
答案 B
解析

猜你喜欢

发表评论
更多 网友评论0 条评论)
暂无评论

访问排行

Copyright © 2012-2014 恰考网 Inc. 保留所有权利。 Powered by tikuer.com

页面耗时0.0808秒, 内存占用1.03 MB, Cache:redis,访问数据库14次