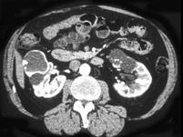
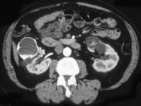
女,34岁,请根据所示图像,选择最可能诊断 ( )A、双肾多发囊肿并钙化B、囊性肾癌C、单纯性肾囊肿D、双肾多发单纯性肾囊肿E、多囊肾

作者: rantiku 人气: - 评论: 0
问题 女,34岁,请根据所示图像,选择最可能诊断 ( )
选项 A、双肾多发囊肿并钙化 B、囊性肾癌 C、单纯性肾囊肿 D、双肾多发单纯性肾囊肿 E、多囊肾
答案 A
解析

猜你喜欢

发表评论
更多 网友评论0 条评论)
暂无评论

访问排行

Copyright © 2012-2014 恰考网 Inc. 保留所有权利。 Powered by tikuer.com

页面耗时0.0318秒, 内存占用1.02 MB, Cache:redis,访问数据库14次