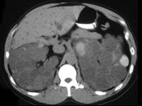
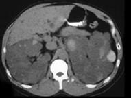
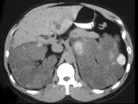
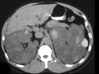
女,52岁,腰部酸胀,根据影像图像,判断其最可能的诊断 ( )A、肾脓肿B、肾盂癌伴出血C、肾细胞癌D、多囊肾E、多房性肾囊肿

作者: rantiku 人气: - 评论: 0
问题 女,52岁,腰部酸胀,根据影像图像,判断其最可能的诊断 ( )
选项 A、肾脓肿 B、肾盂癌伴出血 C、肾细胞癌 D、多囊肾 E、多房性肾囊肿
答案 D
解析

猜你喜欢

发表评论
更多 网友评论0 条评论)
暂无评论

访问排行

Copyright © 2012-2014 恰考网 Inc. 保留所有权利。 Powered by tikuer.com

页面耗时0.0489秒, 内存占用1.03 MB, Cache:redis,访问数据库14次