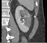
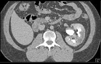
男,47岁,左侧腰痛、叩击痛,请结合图像,选择最可能诊断 ( )A、左肾脓肿B、左肾挫伤C、左肾癌D、左肾梗死E、左侧肾盂肾炎

作者: rantiku 人气: - 评论: 0
问题 男,47岁,左侧腰痛、叩击痛,请结合图像,选择最可能诊断 ( )
选项 A、左肾脓肿 B、左肾挫伤 C、左肾癌 D、左肾梗死 E、左侧肾盂肾炎
答案 D
解析

猜你喜欢

发表评论
更多 网友评论0 条评论)
暂无评论

访问排行

Copyright © 2012-2014 恰考网 Inc. 保留所有权利。 Powered by tikuer.com

页面耗时0.0383秒, 内存占用1.03 MB, Cache:redis,访问数据库19次