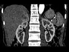
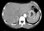
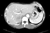
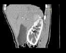
女,35岁,上腹部隐痛不适伴消瘦1月,胃镜提示胃癌,CT扫描如图所示:右侧肾上腺区可见一占位性病灶,应诊断为 ( )A、右肾上腺嗜铬细胞瘤...

作者: rantiku 人气: - 评论: 0
问题 女,35岁,上腹部隐痛不适伴消瘦1月,胃镜提示胃癌,CT扫描如图所示:右侧肾上腺区可见一占位性病灶,应诊断为 ( )
选项 A、右肾上腺嗜铬细胞瘤 B、右肾上腺错构瘤 C、右肾上腺腺癌 D、右肾上腺转移瘤 E、右肾上腺腺瘤
答案 D
解析

猜你喜欢

发表评论
更多 网友评论0 条评论)
暂无评论

访问排行

Copyright © 2012-2014 恰考网 Inc. 保留所有权利。 Powered by tikuer.com

页面耗时0.0565秒, 内存占用1.03 MB, Cache:redis,访问数据库16次