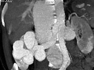
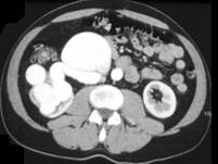
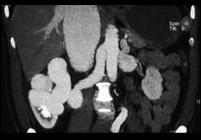
男,18岁,请根据所示图像,选择最可能诊断 ( )A、右侧肾癌B、右肾动静脉畸形C、右肾出血D、右肾囊肿E、右肾积水

作者: rantiku 人气: - 评论: 0
问题 男,18岁,请根据所示图像,选择最可能诊断 ( )
选项 A、右侧肾癌 B、右肾动静脉畸形 C、右肾出血 D、右肾囊肿 E、右肾积水
答案 B
解析

猜你喜欢

发表评论
更多 网友评论0 条评论)
暂无评论

访问排行

Copyright © 2012-2014 恰考网 Inc. 保留所有权利。 Powered by tikuer.com

页面耗时0.0605秒, 内存占用1.03 MB, Cache:redis,访问数据库13次