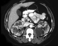
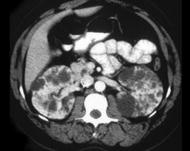
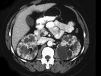
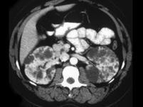
女,35岁,无特殊临床表现,请根据CT图像,选择最可能诊断 ( )A、囊性肾癌B、单纯性肾囊肿C、多发性肾囊肿D、复杂性肾囊肿...

作者: rantiku 人气: - 评论: 0
问题 女,35岁,无特殊临床表现,请根据CT图像,选择最可能诊断 ( )
选项 A、囊性肾癌 B、单纯性肾囊肿 C、多发性肾囊肿 D、复杂性肾囊肿 E、多囊肾
答案 E
解析

猜你喜欢

发表评论
更多 网友评论0 条评论)
暂无评论

访问排行

Copyright © 2012-2014 恰考网 Inc. 保留所有权利。 Powered by tikuer.com

页面耗时0.0425秒, 内存占用1.03 MB, Cache:redis,访问数据库20次