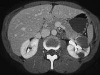
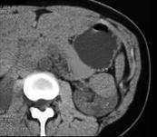
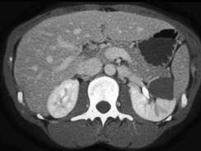
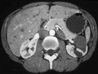
女,35岁,请根据所示图像,选择最可能诊断 ( )A、左侧肾盂旁囊肿B、左侧囊性肾癌C、左侧高密度肾囊肿D、左侧肾积水E、...

作者: rantiku 人气: - 评论: 0
问题 女,35岁,请根据所示图像,选择最可能诊断 ( )
选项 A、左侧肾盂旁囊肿 B、左侧囊性肾癌 C、左侧高密度肾囊肿 D、左侧肾积水 E、左侧单纯性肾囊肿
答案 C
解析

猜你喜欢

发表评论
更多 网友评论0 条评论)
暂无评论

访问排行

Copyright © 2012-2014 恰考网 Inc. 保留所有权利。 Powered by tikuer.com

页面耗时0.0454秒, 内存占用1.03 MB, Cache:redis,访问数据库13次