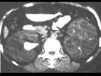
下列哪项检查无助于诊断多囊肾 ( )A、同位素扫描B、CTC、淋巴造影D、B超E、排泄性尿路造影

作者: rantiku 人气: - 评论: 0
问题 下列哪项检查无助于诊断多囊肾 ( )
选项 A、同位素扫描 B、CT C、淋巴造影 D、B超 E、排泄性尿路造影
答案 C
解析

猜你喜欢

发表评论
更多 网友评论0 条评论)
暂无评论

访问排行

Copyright © 2012-2014 恰考网 Inc. 保留所有权利。 Powered by tikuer.com

页面耗时0.0558秒, 内存占用1.03 MB, Cache:redis,访问数据库20次