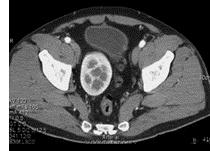
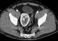
男,27岁,请根据所示图像,选择最可能诊断 ( )A、肾下垂B、游走肾C、腰段肾D、胸内肾E、盆腔肾

作者: rantiku 人气: - 评论: 0
问题 男,27岁,请根据所示图像,选择最可能诊断 ( )
选项 A、肾下垂 B、游走肾 C、腰段肾 D、胸内肾 E、盆腔肾
答案 E
解析

猜你喜欢

发表评论
更多 网友评论0 条评论)
暂无评论

访问排行

Copyright © 2012-2014 恰考网 Inc. 保留所有权利。 Powered by tikuer.com

页面耗时0.0326秒, 内存占用1.03 MB, Cache:redis,访问数据库19次