男,57岁,腹部隐痛不适伴低热2月余,腋下可触及数个肿大的淋巴结,请结合图像,作出诊断 ( )A、左侧肾上腺腺瘤B、左侧肾上腺转移瘤C、左...

作者: rantiku 人气: - 评论: 0
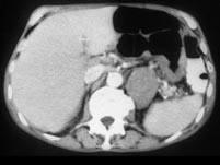
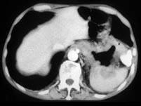
问题 男,57岁,腹部隐痛不适伴低热2月余,腋下可触及数个肿大的淋巴结,请结合图像,作出诊断 ( )
选项 A、左侧肾上腺腺瘤 B、左侧肾上腺转移瘤 C、左侧恶性嗜铬细胞瘤侵及胃脾 D、左侧肾上腺淋巴瘤且胃脾受累 E、左侧肾上腺癌并胃脾转移
答案 D
解析

猜你喜欢

发表评论
更多 网友评论0 条评论)
暂无评论
错误啦!

错误信息

  • 消息: [程序异常] : MISCONF Redis is configured to save RDB snapshots, but it's currently unable to persist to disk. Commands that may modify the data set are disabled, because this instance is configured to report errors during writes if RDB snapshotting fails (stop-writes-on-bgsave-error option). Please check the Redis logs for details about the RDB error.
  • 文件: /twcms/kongphp/cache/cache_redis.class.php
  • 位置: 第 85 行
    <?php echo 'KongPHP, Road to Jane.'; ?>