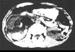
男,建筑工人,不慎从3m高处跌下,臀部着地。当时无不适,约1小时后感左腰痛,排尿呈红色,尿显微镜检查见红细胞满视野,体检腹平软,无明显肿块。IVU无异常发...

作者: rantiku 人气: - 评论: 0
问题 男,建筑工人,不慎从3m高处跌下,臀部着地。当时无不适,约1小时后感左腰痛,排尿呈红色,尿显微镜检查见红细胞满视野,体检腹平软,无明显肿块。IVU无异常发现。应考虑诊断 ( )
选项 A、膀胱损伤 B、腰臀部肌肉损伤 C、肾挫伤 D、输尿管损伤 E、尿道损伤
答案 C
解析

猜你喜欢

发表评论
更多 网友评论0 条评论)
暂无评论

访问排行

Copyright © 2012-2014 恰考网 Inc. 保留所有权利。 Powered by tikuer.com

页面耗时0.0698秒, 内存占用1.03 MB, Cache:redis,访问数据库20次