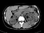
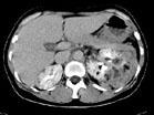
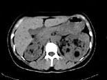
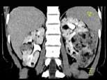
女,36岁,左侧腰痛2 年余,CT检查如图所示,下列说法错误的是 ( )A、考虑为肾癌B、考虑为双肾错构瘤C、左肾病灶中可见脂肪密...

作者: rantiku 人气: - 评论: 0
问题 女,36岁,左侧腰痛2 年余,CT检查如图所示,下列说法错误的是 ( )
选项 A、考虑为肾癌 B、考虑为双肾错构瘤 C、左肾病灶中可见脂肪密度灶,该区增强时也无强化 D、右肾中极可见一小的类圆形混杂密度病灶 E、左肾下极可见一混杂密度病灶,其边界尚清
答案 A
解析

猜你喜欢

发表评论
更多 网友评论0 条评论)
暂无评论

访问排行

Copyright © 2012-2014 恰考网 Inc. 保留所有权利。 Powered by tikuer.com

页面耗时0.0368秒, 内存占用1.03 MB, Cache:redis,访问数据库18次