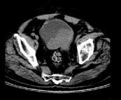
男,56岁,无痛性肉眼血尿2个月,CT检查如图所示,应诊断为 ( )A、膀胱平滑肌瘤B、膀胱息肉C、膀胱血块D、膀胱癌E、膀胱结石

作者: rantiku 人气: - 评论: 0
问题 男,56岁,无痛性肉眼血尿2个月,CT检查如图所示,应诊断为 ( )
选项 A、膀胱平滑肌瘤 B、膀胱息肉 C、膀胱血块 D、膀胱癌 E、膀胱结石
答案 D
解析

猜你喜欢

发表评论
更多 网友评论0 条评论)
暂无评论

访问排行

Copyright © 2012-2014 恰考网 Inc. 保留所有权利。 Powered by tikuer.com

页面耗时0.0385秒, 内存占用1.02 MB, Cache:redis,访问数据库14次