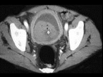
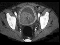
女,36岁,血尿1周余,请根据所示图像,选择最可能诊断 ( )A、膀胱癌B、输尿管癌C、膀胱结石D、膀胱息肉E、膀胱血块

作者: rantiku 人气: - 评论: 0
问题 女,36岁,血尿1周余,请根据所示图像,选择最可能诊断 ( )
选项 A、膀胱癌 B、输尿管癌 C、膀胱结石 D、膀胱息肉 E、膀胱血块
答案 E
解析

猜你喜欢

发表评论
更多 网友评论0 条评论)
暂无评论

访问排行

Copyright © 2012-2014 恰考网 Inc. 保留所有权利。 Powered by tikuer.com

页面耗时0.0460秒, 内存占用1.03 MB, Cache:redis,访问数据库19次