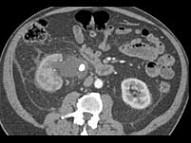
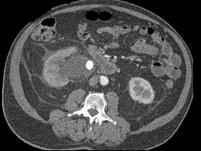
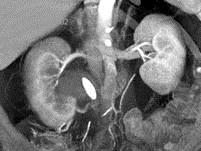
男,27岁,请根据所示图像,选择最可能诊断 ( )A、右肾结石B、右肾钙化C、右侧肾盂结石D、右侧肾盂癌E、右侧肾盂血块

作者: rantiku 人气: - 评论: 0
问题 男,27岁,请根据所示图像,选择最可能诊断 ( )
选项 A、右肾结石 B、右肾钙化 C、右侧肾盂结石 D、右侧肾盂癌 E、右侧肾盂血块
答案 C
解析

猜你喜欢

发表评论
更多 网友评论0 条评论)
暂无评论

访问排行

Copyright © 2012-2014 恰考网 Inc. 保留所有权利。 Powered by tikuer.com

页面耗时0.0467秒, 内存占用1.03 MB, Cache:redis,访问数据库17次