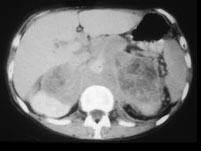
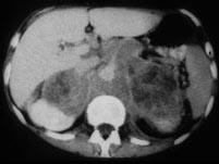
男,76岁,全身浅表淋巴结肿大,请结合下列图片作出诊断 ( )A、肾上腺转移瘤B、肾上腺淋巴瘤C、肾上腺癌D、肾上腺嗜铬细胞瘤E、...

作者: rantiku 人气: - 评论: 0
问题 男,76岁,全身浅表淋巴结肿大,请结合下列图片作出诊断 ( )
选项 A、肾上腺转移瘤 B、肾上腺淋巴瘤 C、肾上腺癌 D、肾上腺嗜铬细胞瘤 E、肾上腺腺瘤
答案 B
解析

猜你喜欢

发表评论
更多 网友评论0 条评论)
暂无评论

访问排行

Copyright © 2012-2014 恰考网 Inc. 保留所有权利。 Powered by tikuer.com

页面耗时0.0612秒, 内存占用1.03 MB, Cache:redis,访问数据库18次