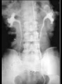
女,56岁,间歇性无痛肉眼血尿1年余。体检:左腰部触及包块,表面不光滑,质较硬,膀胱镜检查左输尿管口喷血。应考虑 ( )A、多囊肾B、肾结石伴积水...

作者: rantiku 人气: - 评论: 0
问题 女,56岁,间歇性无痛肉眼血尿1年余。体检:左腰部触及包块,表面不光滑,质较硬,膀胱镜检查左输尿管口喷血。应考虑 ( )
选项 A、多囊肾 B、肾结石伴积水 C、肾母细胞瘤 D、肾癌 E、肾盂肿瘤
答案 D
解析

猜你喜欢

发表评论
更多 网友评论0 条评论)
暂无评论

访问排行

Copyright © 2012-2014 恰考网 Inc. 保留所有权利。 Powered by tikuer.com

页面耗时0.0410秒, 内存占用1.03 MB, Cache:redis,访问数据库20次