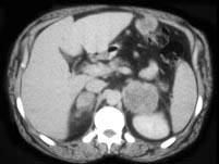
男,56岁,有恶性黑色素瘤病史,请结合图像,作出诊断 ( )A、肾上腺转移瘤B、肾上腺嗜铬细胞瘤C、肾上腺髓样脂肪瘤D、肾上腺癌E...

作者: rantiku 人气: - 评论: 0
问题 男,56岁,有恶性黑色素瘤病史,请结合图像,作出诊断 ( )
选项 A、肾上腺转移瘤 B、肾上腺嗜铬细胞瘤 C、肾上腺髓样脂肪瘤 D、肾上腺癌 E、肾上腺腺瘤
答案 A
解析

猜你喜欢

发表评论
更多 网友评论0 条评论)
暂无评论

访问排行

Copyright © 2012-2014 恰考网 Inc. 保留所有权利。 Powered by tikuer.com

页面耗时0.0388秒, 内存占用1.03 MB, Cache:redis,访问数据库17次