男,36岁,反复发作的右侧腰背部疼痛伴血尿1年余,CT如图所示,下列说法正确的是 ( )A、右输尿管结石B、右输尿管上段钙化C、右输尿...

作者: rantiku 人气: - 评论: 0
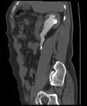
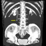
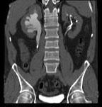
问题 男,36岁,反复发作的右侧腰背部疼痛伴血尿1年余,CT如图所示,下列说法正确的是 ( )
选项 A、右输尿管结石 B、右输尿管上段钙化 C、右输尿管上段扩张 D、右输尿管内可见沿输尿管走行的高密度影 E、右侧肾盂肾盏扩张
答案 ACDE
解析

猜你喜欢

发表评论
更多 网友评论0 条评论)
暂无评论

访问排行

Copyright © 2012-2014 恰考网 Inc. 保留所有权利。 Powered by tikuer.com

页面耗时0.0329秒, 内存占用1.03 MB, Cache:redis,访问数据库19次