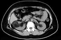
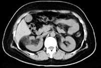
男,55岁,因右腰部不适1 年余,行CT扫描如图所示,下列说法正确的是 ( )A、考虑为右肾癌B、考虑为右肾错构瘤C、其内见低密度脂肪...

作者: rantiku 人气: - 评论: 0
问题 男,55岁,因右腰部不适1 年余,行CT扫描如图所示,下列说法正确的是 ( )
选项 A、考虑为右肾癌 B、考虑为右肾错构瘤 C、其内见低密度脂肪影 D、其边缘清楚,与周围境界清晰 E、右肾中极可见一类圆形肿块影,肿块密度不均
答案 BCDE
解析

猜你喜欢

发表评论
更多 网友评论0 条评论)
暂无评论

访问排行

Copyright © 2012-2014 恰考网 Inc. 保留所有权利。 Powered by tikuer.com

页面耗时0.0355秒, 内存占用1.03 MB, Cache:redis,访问数据库20次