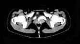
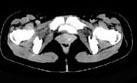
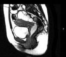
女,28岁,阴道有异常液体流下,CT和MRI扫描如图,下列说诊断正确的是 ( )A、考虑为左侧输尿管异位开口B、考虑为膀胱阴道瘘C...

作者: rantiku 人气: - 评论: 0
问题 女,28岁,阴道有异常液体流下,CT和MRI扫描如图,下列说诊断正确的是 ( )
选项 A、考虑为左侧输尿管异位开口 B、考虑为膀胱阴道瘘 C、MRI的T加权像示宫颈阴道内有大片状高信号影 D、膀胱后下缘可见鸟嘴状突起 E、CT增强示造影剂由膀胱进入阴道
答案 BCDE
解析

猜你喜欢

发表评论
更多 网友评论0 条评论)
暂无评论

访问排行

Copyright © 2012-2014 恰考网 Inc. 保留所有权利。 Powered by tikuer.com

页面耗时0.0355秒, 内存占用1.03 MB, Cache:redis,访问数据库19次