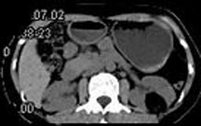
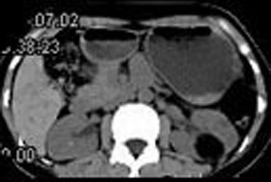
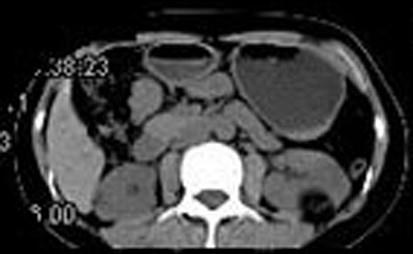
女,38岁,体检时B超在左肾探及一中强回声光团,边界清,内部回声均匀,CT检查如图所示,下列说法正确的是 ( )A、考虑为左肾血管平滑肌脂...

作者: rantiku 人气: - 评论: 0
问题 女,38岁,体检时B超在左肾探及一中强回声光团,边界清,内部回声均匀,CT检查如图所示,下列说法正确的是 ( )
选项 A、考虑为左肾血管平滑肌脂肪瘤 B、考虑为左肾脂肪瘤 C、病灶与周围肾组织界限清楚 D、病灶密度为脂肪密度 E、左肾中部靠后方可见一类圆形低密度病灶
答案 BCDE
解析

猜你喜欢

发表评论
更多 网友评论0 条评论)
暂无评论

访问排行

Copyright © 2012-2014 恰考网 Inc. 保留所有权利。 Powered by tikuer.com

页面耗时0.0331秒, 内存占用1.03 MB, Cache:redis,访问数据库19次