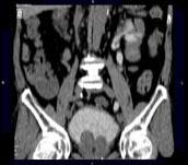
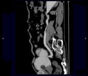
男,72岁,排尿困难1 年余,无手术病史,CT扫描如图示,下列说法正确的是 ( )A、该囊性肿物考虑为膀胱憩室B、该囊性肿物考虑为输尿...
相关内容:年余,手术,病史,扫描,说法,该囊,肿物,膀胱,憩室,输尿
猜你喜欢
- 腰椎间盘突出症引发腰腿痛的主要原因是A、受压的神经根缺血B、受压的神经根水肿C、突出的椎间盘组织释放的炎症介质刺激神经根D、有炎症的神经根受到...
- O157:H7血清型大肠埃希菌属于 ( )A、EPECB、EAggECC、EHECD、EIECE、ETEC
- 10个月男孩,诊断为流感嗜血杆菌脑膜炎,经抗生素治疗一周后,病情好转,体温正常,近2天又出现发热,搐搦,前因饱满,颅缝分离,应首先考虑的诊断是A.脑膜炎复...
- 肺栓塞的栓子大多数来源于( )A.右心室B.右心房C.下肢浅静脉D.深静脉E.肺动脉内
- 房源信息的更新应注意事项不包括( )。A:周期性访问B:访问信息的累积C:房源信息的循环利用D:及时剔除已完成交易的房源
- 脾死脏的表现是A.浮之虚,按之弱如葱叶,下无根者,死B.浮之弱,按之如索不来,或曲如蛇行者,死C.浮之实,如麻豆,按之益躁疾者,死D.浮之大坚...
- 下列药物使用方式,正确的是(D)A.酵母片在餐后整片用水送服
B.硝酸油片在心绞痛发僬的紧急情况下嚼碎用冰送服
C.氧氟沙星滴眼液打开使用后,继续使用...
- 薪酬体系中与绩效直接挂钩的部分是()。A.津贴B.补贴C.奖金D.年金
- 抵押是指债务人或者第三人转移对法定财产的占有,将该财产作为债权的担保。( )
- 建设项目决策期的项目环境和条件包括( )。A:自然环境
B:宏观经济环境
C:微观经济环境
D:政策环境
E:市场环境