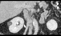
1986年Bosniak 根据CT征象提出肾囊性病变四级分类法,请结合下列图像选择正确说法 ( )A、此为BosniakⅡ类肾囊肿B、此为Bo...

作者: rantiku 人气: - 评论: 0
问题 1986年Bosniak 根据CT征象提出肾囊性病变四级分类法,请结合下列图像选择正确说法 ( )
选项 A、此为BosniakⅡ类肾囊肿 B、此为BosniakⅢ类肾囊肿 C、该囊性病灶内囊液呈稍高密度 D、此为BosniakⅠ类肾囊肿 E、右肾内可见一类圆形囊性病灶,边界清楚,增强后无强化
答案 CDE
解析

猜你喜欢

发表评论
更多 网友评论0 条评论)
暂无评论

访问排行

Copyright © 2012-2014 恰考网 Inc. 保留所有权利。 Powered by tikuer.com

页面耗时0.0690秒, 内存占用1.03 MB, Cache:redis,访问数据库19次