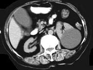
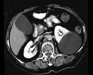
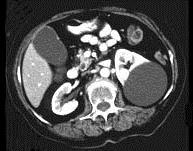
女,38岁,左腰部胀痛不适,CT平扫+增强如图所示,下列说法正确的是 ( )A、考虑为左肾囊性肾癌B、考虑为左肾囊肿C、病灶边界清晰,...

作者: rantiku 人气: - 评论: 0
问题 女,38岁,左腰部胀痛不适,CT平扫+增强如图所示,下列说法正确的是 ( )
选项 A、考虑为左肾囊性肾癌 B、考虑为左肾囊肿 C、病灶边界清晰,表面光整 D、增强扫描皮质期和实质期该病灶均未见强化 E、平扫时可见左肾一类圆形囊性病灶
答案 BCDE
解析

猜你喜欢

发表评论
更多 网友评论0 条评论)
暂无评论
错误啦!

错误信息

  • 消息: [程序异常] : MISCONF Redis is configured to save RDB snapshots, but it's currently unable to persist to disk. Commands that may modify the data set are disabled, because this instance is configured to report errors during writes if RDB snapshotting fails (stop-writes-on-bgsave-error option). Please check the Redis logs for details about the RDB error.
  • 文件: /twcms/kongphp/cache/cache_redis.class.php
  • 位置: 第 85 行
    <?php echo 'KongPHP, Road to Jane.'; ?>