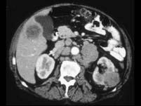
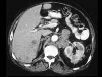
男,54岁,左侧腰痛,伴间歇性血尿2个月余,请结合图像,下列哪项描述正确 ( )A、左肾转移癌B、腹主动脉旁及左肾门区淋巴结转移C、肝内多...

作者: rantiku 人气: - 评论: 0
问题 男,54岁,左侧腰痛,伴间歇性血尿2个月余,请结合图像,下列哪项描述正确 ( )
选项 A、左肾转移癌 B、腹主动脉旁及左肾门区淋巴结转移 C、肝内多发转移癌 D、肝癌 E、左侧肾癌
答案 BCE
解析

猜你喜欢

发表评论
更多 网友评论0 条评论)
暂无评论

访问排行

Copyright © 2012-2014 恰考网 Inc. 保留所有权利。 Powered by tikuer.com

页面耗时0.0417秒, 内存占用1.03 MB, Cache:redis,访问数据库16次