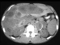
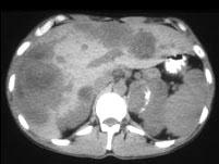
男,37岁,阵发性高血压1个月余,请结合所提供图像,选择最佳答案 ( )A、肝转移瘤B、原发性肝癌C、左侧恶性嗜铬细胞瘤D、左侧肾上腺...

作者: rantiku 人气: - 评论: 0
问题 男,37岁,阵发性高血压1个月余,请结合所提供图像,选择最佳答案 ( )
选项 A、肝转移瘤 B、原发性肝癌 C、左侧恶性嗜铬细胞瘤 D、左侧肾上腺转移瘤 E、左侧肾上腺癌
答案 AC
解析

猜你喜欢

发表评论
更多 网友评论0 条评论)
暂无评论

访问排行

Copyright © 2012-2014 恰考网 Inc. 保留所有权利。 Powered by tikuer.com

页面耗时0.0394秒, 内存占用1.03 MB, Cache:redis,访问数据库20次