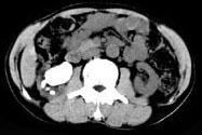
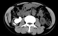
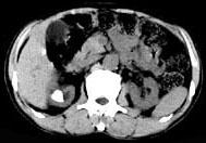
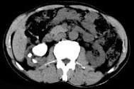
男,53岁,反复右侧腰部隐痛不适2年余,CT如图所示,下列说法正确的是 ( )A、右肾自截B、部分肾盏有扩张积液C、右肾铸型结石 ...

作者: rantiku 人气: - 评论: 0
问题 男,53岁,反复右侧腰部隐痛不适2年余,CT如图所示,下列说法正确的是 ( )
选项 A、右肾自截 B、部分肾盏有扩张积液 C、右肾铸型结石 D、右肾钙化 E、右肾多发结石
答案 BCE
解析

猜你喜欢

发表评论
更多 网友评论0 条评论)
暂无评论

访问排行

Copyright © 2012-2014 恰考网 Inc. 保留所有权利。 Powered by tikuer.com

页面耗时0.0547秒, 内存占用1.03 MB, Cache:redis,访问数据库15次