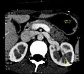
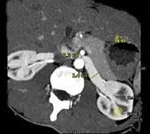
女 ,24 岁,发作性肉眼血尿1 年,实验室检查:尿蛋白 (- +)、红细胞1 2/HP,尿蛋白直立试验 (+),CT扫描如图,下列说法正确的是 ( ) ...

作者: rantiku 人气: - 评论: 0
问题 女 ,24 岁,发作性肉眼血尿1 年,实验室检查:尿蛋白 (- +)、红细胞1 2/HP,尿蛋白直立试验 (+),CT扫描如图,下列说法正确的是 ( )
选项 A、左侧肠系膜上动脉与腹主动脉夹角增大 B、考虑为左肾静脉胡桃夹综合征 C、左肾静脉走行至肠系膜上动脉与腹主动脉间变细,近左肾处扩张 D、左侧肠系膜上动脉与腹主动脉夹角变小 E、双肾大小形态正常
答案 BCDE
解析

猜你喜欢

发表评论
更多 网友评论0 条评论)
暂无评论

访问排行

Copyright © 2012-2014 恰考网 Inc. 保留所有权利。 Powered by tikuer.com

页面耗时0.0386秒, 内存占用1.03 MB, Cache:redis,访问数据库19次