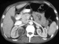
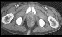
男,35岁,右侧腰部疼痛伴发热,请根据所示图像,选择最可能诊断 ( )A、右肾转移瘤B、前列腺脓肿C、右侧单纯性肾囊肿D、右侧囊性肾癌...

作者: rantiku 人气: - 评论: 0
问题 男,35岁,右侧腰部疼痛伴发热,请根据所示图像,选择最可能诊断 ( )
选项 A、右肾转移瘤 B、前列腺脓肿 C、右侧单纯性肾囊肿 D、右侧囊性肾癌 E、右侧肾脓肿
答案 BE
解析

猜你喜欢

发表评论
更多 网友评论0 条评论)
暂无评论

访问排行

Copyright © 2012-2014 恰考网 Inc. 保留所有权利。 Powered by tikuer.com

页面耗时0.0538秒, 内存占用1.03 MB, Cache:redis,访问数据库13次