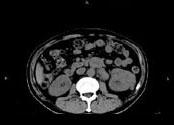
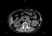
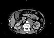
男,65岁,左腰部隐痛不适2个月,CT平扫+增强如图所示,下列说法正确的是 ( )A、考虑为左肾癌伴肾门淋巴结转移B、增强扫描可见左肾...

作者: rantiku 人气: - 评论: 0
问题 男,65岁,左腰部隐痛不适2个月,CT平扫+增强如图所示,下列说法正确的是 ( )
选项 A、考虑为左肾癌伴肾门淋巴结转移 B、增强扫描可见左肾局部隆起左肾内的病灶强化方式相同 C、腹腔内未见积液,所示骨质亦未见破坏 D、平扫时可见左肾局部隆起,腹主动脉旁、肾门部有等密度的块影
答案 ABCD
解析

猜你喜欢

发表评论
更多 网友评论0 条评论)
暂无评论

访问排行

Copyright © 2012-2014 恰考网 Inc. 保留所有权利。 Powered by tikuer.com

页面耗时0.0621秒, 内存占用1.03 MB, Cache:redis,访问数据库19次