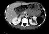
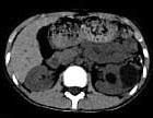
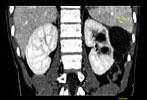
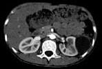
女,14岁,左腰部胀痛,CT平扫+增强如图所示,下列说法正确的是 ( )A、考虑为多囊肾B、考虑为多发性肾囊肿C、左肾后外侧缘可见...

作者: rantiku 人气: - 评论: 0
问题 女,14岁,左腰部胀痛,CT平扫+增强如图所示,下列说法正确的是 ( )
选项 A、考虑为多囊肾 B、考虑为多发性肾囊肿 C、左肾后外侧缘可见一较大的囊性病灶,其壁薄而光整,考虑为肾包膜下囊肿 D、左肾后外侧缘可见一较大的囊性病灶,其壁薄而光滑,考虑为肾外囊性病灶 E、左肾实质内可见两个类圆形的囊性病灶,边缘光整,增强后不强化
答案 BCE
解析

猜你喜欢

发表评论
更多 网友评论0 条评论)
暂无评论

访问排行

Copyright © 2012-2014 恰考网 Inc. 保留所有权利。 Powered by tikuer.com

页面耗时0.0650秒, 内存占用1.03 MB, Cache:redis,访问数据库20次