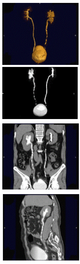
男,47岁,腰痛、腰胀2个月余伴低热、乏力,如影像资料所示,下列哪项说法正确( )A、考虑为右输尿管占位病变B、考虑为右输尿管结核C、右侧输尿...

作者: rantiku 人气: - 评论: 0
问题 男,47岁,腰痛、腰胀2个月余伴低热、乏力,如影像资料所示,下列哪项说法正确( )
选项 A、考虑为右输尿管占位病变 B、考虑为右输尿管结核 C、右侧输尿管多发性生理性狭窄 D、右侧肾盂轻度积水 E、右侧输尿管多发性狭窄,呈"串珠样"改变
答案 BDE
解析

猜你喜欢

发表评论
更多 网友评论0 条评论)
暂无评论

访问排行

Copyright © 2012-2014 恰考网 Inc. 保留所有权利。 Powered by tikuer.com

页面耗时0.0381秒, 内存占用1.03 MB, Cache:redis,访问数据库17次