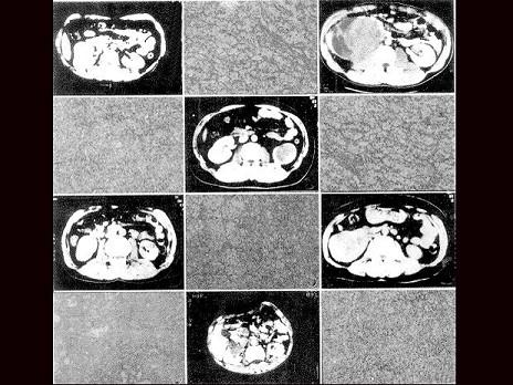
女,58岁,间歇无痛肉眼血尿2个月余。查体未发现异常。肾脏B超提示右肾中下极4.5cm低回声肿物,向肾外侧突出。其诊断最可能是 ( )A、右肾错构瘤 ...

作者: rantiku 人气: - 评论: 0
问题 女,58岁,间歇无痛肉眼血尿2个月余。查体未发现异常。肾脏B超提示右肾中下极4.5cm低回声肿物,向肾外侧突出。 其诊断最可能是 ( )
选项 A、右肾错构瘤 B、右肾母细胞瘤 C、右肾盂癌 D、右肾囊肿 E、右肾细胞癌
答案 E
解析

猜你喜欢

发表评论
更多 网友评论0 条评论)
暂无评论

访问排行

Copyright © 2012-2014 恰考网 Inc. 保留所有权利。 Powered by tikuer.com

页面耗时0.0405秒, 内存占用1.03 MB, Cache:redis,访问数据库20次