女,36岁,无任何症状,体检时超声发现左侧肾上腺区占位,CT扫描如图所示,应诊断为 ( )A、左肾上腺髓样脂肪瘤B、左肾上腺转移瘤C、左肾...

作者: rantiku 人气: - 评论: 0
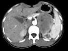
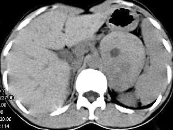
问题 女,36岁,无任何症状,体检时超声发现左侧肾上腺区占位,CT扫描如图所示,应诊断为 ( )
选项 A、左肾上腺髓样脂肪瘤 B、左肾上腺转移瘤 C、左肾上腺囊肿 D、左肾上腺嗜铬细胞瘤 E、左肾上腺腺瘤
答案 E
解析

猜你喜欢

发表评论
更多 网友评论0 条评论)
暂无评论

访问排行

Copyright © 2012-2014 恰考网 Inc. 保留所有权利。 Powered by tikuer.com

页面耗时0.0379秒, 内存占用1.03 MB, Cache:redis,访问数据库17次