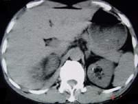
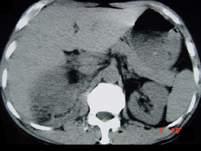
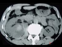
男,25岁,右腰部疼痛伴血尿,有外伤史,CT扫描如图所示,应诊断为 ( )A、右肾梗死B、右肾脓肿C、右肾血管平滑肌瘤D、右肾癌 ...

作者: rantiku 人气: - 评论: 0
问题 男,25岁,右腰部疼痛伴血尿,有外伤史,CT扫描如图所示,应诊断为 ( )
选项 A、右肾梗死 B、右肾脓肿 C、右肾血管平滑肌瘤 D、右肾癌 E、右肾挫伤并包膜下血肿
答案 E
解析

猜你喜欢

发表评论
更多 网友评论0 条评论)
暂无评论

访问排行

Copyright © 2012-2014 恰考网 Inc. 保留所有权利。 Powered by tikuer.com

页面耗时0.0868秒, 内存占用1.03 MB, Cache:redis,访问数据库15次