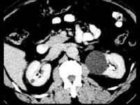
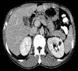
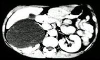
在下列几幅图片均为哪种疾病 ( )A、肾脓肿B、肾脂肪瘤C、肾错构瘤D、肾癌E、肾囊肿

作者: rantiku 人气: - 评论: 0
问题 在下列几幅图片均为哪种疾病 ( )
选项 A、肾脓肿 B、肾脂肪瘤 C、肾错构瘤 D、肾癌 E、肾囊肿
答案 E
解析

猜你喜欢

发表评论
更多 网友评论0 条评论)
暂无评论

访问排行

Copyright © 2012-2014 恰考网 Inc. 保留所有权利。 Powered by tikuer.com

页面耗时0.0476秒, 内存占用1.03 MB, Cache:redis,访问数据库19次