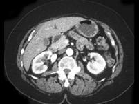
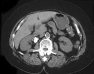
男,68岁,偶然发现高血压,请根据所示图像,选择最可能诊断 ( )A、右肾血管瘤B、右侧肾上腺嗜铬细胞瘤C、右肾囊肿合并出血D、右肾动脉瘤...

作者: rantiku 人气: - 评论: 0
问题 男,68岁,偶然发现高血压,请根据所示图像,选择最可能诊断 ( )
选项 A、右肾血管瘤 B、右侧肾上腺嗜铬细胞瘤 C、右肾囊肿合并出血 D、右肾动脉瘤 E、右肾出血
答案 D
解析

猜你喜欢

发表评论
更多 网友评论0 条评论)
暂无评论

访问排行

Copyright © 2012-2014 恰考网 Inc. 保留所有权利。 Powered by tikuer.com

页面耗时0.0575秒, 内存占用1.02 MB, Cache:redis,访问数据库14次