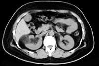
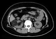
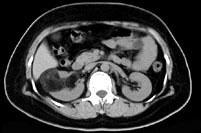
男,55岁,因右腰部不适1 年余,行CT扫描如图所示,下列说法正确的是 ( )A、考虑为右肾癌B、考虑为右肾错构瘤C、其内见低密度脂肪...

作者: rantiku 人气: - 评论: 0
问题 男,55岁,因右腰部不适1 年余,行CT扫描如图所示,下列说法正确的是 ( )
选项 A、考虑为右肾癌 B、考虑为右肾错构瘤 C、其内见低密度脂肪影 D、其边缘清楚,与周围境界清晰 E、右肾中极可见一类圆形肿块影,肿块密度不均
答案 BCDE
解析

猜你喜欢

发表评论
更多 网友评论0 条评论)
暂无评论
错误啦!

错误信息

  • 消息: [程序异常] : MISCONF Redis is configured to save RDB snapshots, but it's currently unable to persist to disk. Commands that may modify the data set are disabled, because this instance is configured to report errors during writes if RDB snapshotting fails (stop-writes-on-bgsave-error option). Please check the Redis logs for details about the RDB error.
  • 文件: /twcms/kongphp/cache/cache_redis.class.php
  • 位置: 第 85 行
    <?php echo 'KongPHP, Road to Jane.'; ?>