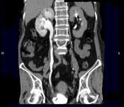
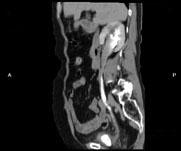
女,64岁,反复尿频尿急尿痛6年余,尿常规检查:红细胞(++),白细胞(++)CT扫描如图示,下列说法正确的是 ( )A、考虑为慢性输尿管炎 ...

作者: rantiku 人气: - 评论: 0
问题 女,64岁,反复尿频尿急尿痛6年余,尿常规检查:红细胞(++),白细胞(++)CT扫描如图示,下列说法正确的是 ( )
选项 A、考虑为慢性输尿管炎 B、考虑为输尿管移行细胞癌 C、右肾积水 D、右侧输尿管上段扩张 E、右侧输尿管下段管壁增厚,管腔狭窄
答案 ACDE
解析

猜你喜欢

发表评论
更多 网友评论0 条评论)
暂无评论

访问排行

Copyright © 2012-2014 恰考网 Inc. 保留所有权利。 Powered by tikuer.com

页面耗时0.0320秒, 内存占用1.03 MB, Cache:redis,访问数据库14次