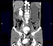
男,55岁,尿频,尿痛伴低热乏力1个月。如图所示,下列说法正确的是 ( )A、左侧输尿管结核B、左侧输尿管癌C、右侧肾积水D、...

作者: rantiku 人气: - 评论: 0
问题 男,55岁,尿频,尿痛伴低热乏力1个月。如图所示,下列说法正确的是 ( )
选项 A、左侧输尿管结核 B、左侧输尿管癌 C、右侧肾积水 D、膀胱变形 E、左侧输尿管多发性狭窄
答案 ACDE
解析

猜你喜欢

发表评论
更多 网友评论0 条评论)
暂无评论

访问排行

Copyright © 2012-2014 恰考网 Inc. 保留所有权利。 Powered by tikuer.com

页面耗时0.0431秒, 内存占用1.03 MB, Cache:redis,访问数据库19次