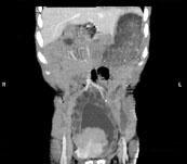
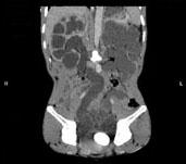
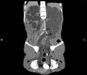
男,33岁,反复尿频,尿急,尿痛3年余,排尿困难4个月,尿常规:蛋白(+),红细胞01/HP,白细胞(++),CT扫描图,下列诊断哪项说法正确 ( )...

作者: rantiku 人气: - 评论: 0
问题 男,33岁,反复尿频,尿急,尿痛3年余,排尿困难4个月,尿常规:蛋白(+),红细胞01/HP,白细胞(++),CT扫描图,下列诊断哪项说法正确 ( )
选项 A、双侧肾积水,双侧输尿管扩张 B、膀胱多发性假性憩室 C、膀胱慢性炎性肉芽肿 D、膀胱癌 E、膀胱结石
答案 ABCE
解析

猜你喜欢

发表评论
更多 网友评论0 条评论)
暂无评论

访问排行

Copyright © 2012-2014 恰考网 Inc. 保留所有权利。 Powered by tikuer.com

页面耗时0.0915秒, 内存占用1.03 MB, Cache:redis,访问数据库20次