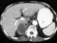
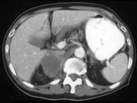
男,75岁,右侧胸痛伴咯血3月余,胸部CT提示右侧中央型肺癌,请结合图像,作出诊断()A.右侧肾上腺囊肿B.右侧肾上腺转移瘤C.右侧肾上腺...

作者: rantiku 人气: - 评论: 0
问题 男,75岁,右侧胸痛伴咯血3月余,胸部CT提示右侧中央型肺癌,请结合图像,作出诊断()
选项 A.右侧肾上腺囊肿 B.右侧肾上腺转移瘤 C.右侧肾上腺腺瘤 D.右侧肾上腺癌 E.右侧肾上腺嗜铬细胞瘤
答案 B
解析

猜你喜欢

发表评论
更多 网友评论0 条评论)
暂无评论

访问排行

Copyright © 2012-2014 恰考网 Inc. 保留所有权利。 Powered by tikuer.com

页面耗时0.0362秒, 内存占用1.02 MB, Cache:redis,访问数据库15次