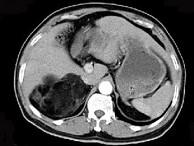
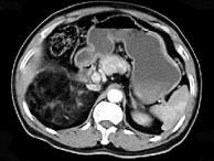
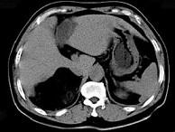
男,59岁,右侧腰背酸痛,CT检查如图所示,应诊断为()A.右肾上腺腺瘤B.右肾上腺转移瘤C.右肾上腺髓样脂肪瘤D.右腹膜后脂...

作者: rantiku 人气: - 评论: 0
问题 男,59岁,右侧腰背酸痛,CT检查如图所示,应诊断为()
选项 A.右肾上腺腺瘤 B.右肾上腺转移瘤 C.右肾上腺髓样脂肪瘤 D.右腹膜后脂肪瘤 E.右肾血管平滑肌脂肪瘤
答案 C
解析

猜你喜欢

发表评论
更多 网友评论0 条评论)
暂无评论

访问排行

Copyright © 2012-2014 恰考网 Inc. 保留所有权利。 Powered by tikuer.com

页面耗时0.0477秒, 内存占用1.03 MB, Cache:redis,访问数据库20次