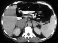
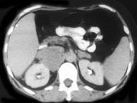
男,65岁,腋下触及肿大包块,全身浅表淋巴结肿大,请结合所提供图像,选择最佳答案()A.双侧肾上腺腺瘤B.双侧肾上腺增生C.双侧肾上腺淋巴...

作者: rantiku 人气: - 评论: 0
问题 男,65岁,腋下触及肿大包块,全身浅表淋巴结肿大,请结合所提供图像,选择最佳答案()
选项 A.双侧肾上腺腺瘤 B.双侧肾上腺增生 C.双侧肾上腺淋巴瘤 D.双侧肾上腺转移瘤 E.肾上腺癌
答案 C
解析

猜你喜欢

发表评论
更多 网友评论0 条评论)
暂无评论

访问排行

Copyright © 2012-2014 恰考网 Inc. 保留所有权利。 Powered by tikuer.com

页面耗时0.0369秒, 内存占用1.03 MB, Cache:redis,访问数据库19次