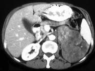
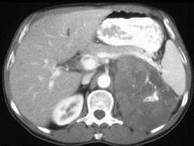
女,43岁,满月脸、皮肤紫纹、月经不规则3月余,请结合所提供图像,作出诊断()A.左肾上腺腺瘤B.左肾上腺嗜铬细胞瘤C.左肾上腺转移瘤...

作者: rantiku 人气: - 评论: 0
问题 女,43岁,满月脸、皮肤紫纹、月经不规则3月余,请结合所提供图像,作出诊断()
选项 A.左肾上腺腺瘤 B.左肾上腺嗜铬细胞瘤 C.左肾上腺转移瘤 D.左肾上腺腺癌 E.左肾上腺增生
答案 D
解析

猜你喜欢

发表评论
更多 网友评论0 条评论)
暂无评论

访问排行

Copyright © 2012-2014 恰考网 Inc. 保留所有权利。 Powered by tikuer.com

页面耗时0.0348秒, 内存占用1.03 MB, Cache:redis,访问数据库17次